Зуботехническая лаборатория "Precision Lab"
Описание
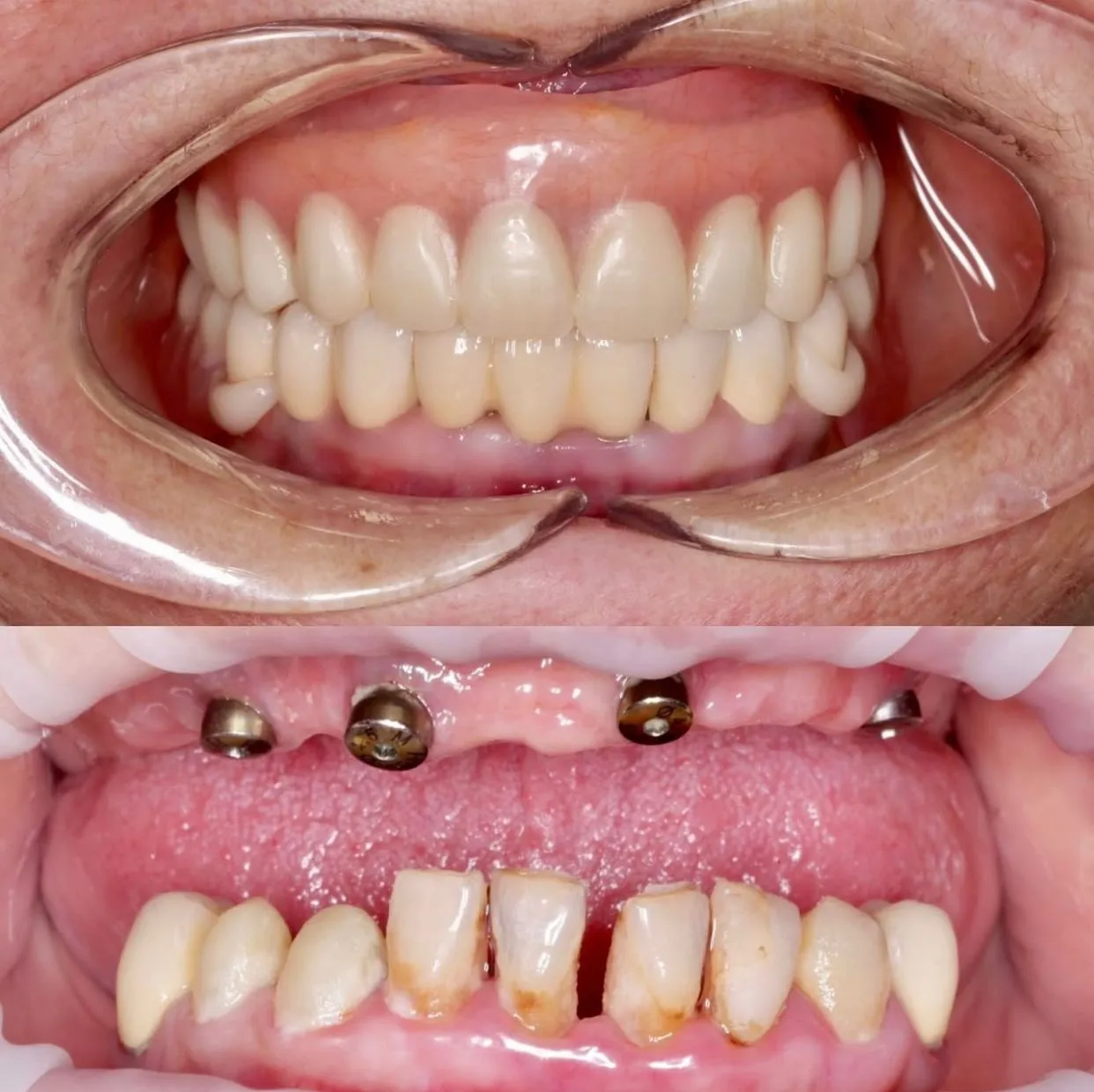
Precision Lab — это современная зуботехническая лаборатория, специализирующаяся на изготовлении ортопедических конструкций высочайшего качества.
Мы работаем с ведущими стоматологическими клиниками и специалистами, предлагая надёжные решения для восстановления и эстетики зубного ряда.
-
Изготовление зубных протезов
Съёмные и несъёмные конструкции, адаптированные под особенности каждого пациента. -
Коронки и мостовидные конструкции
Высокоточные изделия для функционального и эстетического восстановления зубов. -
Виниры и эстетическое протезирование
Тонкие керамические накладки для создания безупречной улыбки. -
Комплексные ортопедические решения
Индивидуальные конструкции для восстановления полного зубного ряда. -
Консультации для врачей-ортопедов и пациентов
Помощь в подборе оптимальных технологий и материалов под каждый клинический случай.
Современные технологии
CAD/CAM-моделирование, 3D-печать, цифровые методы проектирования и контроля качества.
Премиальные материалы
Используем только сертифицированные и проверенные материалы от мировых брендов.
Индивидуальный подход
Каждое изделие изготавливается по точным параметрам, с учётом анатомических особенностей пациента.
Опыт и профессионализм
Команда лаборатории состоит из высококвалифицированных зубных техников с многолетним опытом.
Честная ценовая политика
Предлагаем конкурентоспособные цены без потери качества.
Надёжные, эстетичные и долговечные ортопедические конструкции — это наш стандарт.
Свяжитесь с нами и запишитесь на консультацию уже сегодня!


