Компьютерный томограф RAYSCAN RCT 800
Галерея
Компьютерный томограф RAYSCAN RCT 800

Решения, ориентированные на face-driven dentistry
Всего лишь одно сканирование способно обеспечить быструю и точную обработку данных, гарантируя получение безупречных изображений без искажений. Это открывает вам доступ к всесторонним клиническим перспективам, позволяет уверенно ставить диагнозы и составлять комплексный план лечения, легко направляя вас от начала до конца.
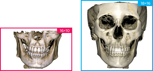
FOV 18×16
Свободные настройки FOV
Ортодонтия и ортогнатическая хирургия, анализ пазух носа и дыхательных путей, имплантология, двойной анализ ВНЧС, эндодонтия.
70㎛ 160㎛ 300㎛
FOV 4x5 FOV 10x10 FOV 18x16
Точные результаты — уверенность в диагнозе.
22 сек
Скан в HD-качестве
Возможность быстро просматривать снимки компьютерной томографии и значительно сокращать время пребывания в кресле.
Один снимок — все детали
RAYSCAN 18х16 может с лёгкостью и точностью охватить обширную область анатомии. Его замечательная способность захватывать как назион, так и глабеллу, область от подбородка до лба, всё это в одном сканировании высотой 16 см действительно впечатляет.
Познакомьтесь с технологией получения изображений с использованием полноразмерного датчика от RAY. Этот метод не только позволяет получать объёмные изображения без сшивания, но и сводит к минимуму радиационное облучение в целях безопасности пациентов.

Ортодонтия & ЧЛХ
- Оценка роста
- Анализ симметрии лица
- План ортодонтического лечения
- Анализ дыхательных путей и ВНЧС
- Моделирование ортогнатической хирургии




С помощью RAYSCAN приоритетное внимание уделяется индивидуальности каждого пациента, предлагая настраиваемые объёмы сканирования и изображения с высоким разрешением. Это гарантирует получение чётких диагностических изображений, позволяет ставить верные диагнозы и целенаправленно планировать лечение.

Ещё больше применений в стоматологии
- Ортодонтия
- Всё на Х-имплантах
- Ортогнатическая хирургия
- Реконструкция лица
- Травмы
- Анализ пазух и дыхательных путей
- Эндодонтия
- Имплантология
- Двойной ВНЧС
- Скученность зубов
Изображения с высоким разрешением для точной диагностики
Получите исключительную чёткость изображения и настраиваемый объём сканирования с помощью RAYSCAN. Адаптируйте свои снимки в соответствии с вашими конкретными клиническими потребностями, и будьте уверены в том, что запечатлеете каждую сложную деталь и раскроете безграничные возможности.
FOV 18×16 см, 300 μm

FOV 18×16 см, 300 μm

FOV 10×10 см, 160 μm
. 
FOV 4×5 см, 70 μm

Технология AMF (Адаптивный движущийся фокус) выбирает оптимальный слой изображения для получения чётких панорамных изображений, что позволяет легко определить состояние пародонта пациента и локализацию поражения.
Самая современная технология для обеспечения качества изображения высокой чёткости
Сканирование при помощи цефалостата с прямым преобразованием или при помощи одноразовых датчиков цефалометрии. Одноразовый датчик цефалометрии захватывает изображения всего за 0,8 секунды, сводя к минимуму искажения и уменьшая облучение пациента. В то время как прямое преобразование обеспечивает сканирование с высоким разрешением.

Сканирование с прямым преобразованием


Цефалостат One-shot большой
Инновационная система оцифровки зубного ряда пациента без использования дополнительного оборудования обеспечивает идеальный вывод STL-модели.
Компьютерная томография оцифровывает непосредственно оттиски без искажений при полном сканировании дуги.






Отзывы